Monoclonal

Product Type
Research Area
Clonality
Host Species
Species Reactivity
Tested Applications
Modifications
Conjugate
Product Badges
Western blot analysis of various lysates, using TriMethyl-Histone H3-K27 Rabbit mAb (A22398) at 1:10000 dilution.|Secondary antibody: HRP-conjugated Goat anti-Rabbit IgG (H+L) (AS014) at 1:10000 dilution.|Lysates/proteins: 25μg per lane.|Blocking buffer: 3% nonfat dry milk in TBST.|Detection: ECL Basic Kit (RM00020).|Exposure time: 1s.
Clonality:
Monoclonal
Host Species:
Rabbit
Tested Applications:
ChIP, ELISA, IF/ICC, IHC-P, WB
Conjugate:
Unconjugated
Species Reactivity:
Human, Mouse, Other (Wide Range Predicted), Rat
List Size:
100 uL
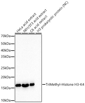
Western blot analysis of various lysates, using TriMethyl-Histone H3-K4 Rabbit mAb (A22224) at  1:30000 dilution.|Secondary antibody: HRP-conjugated Goat anti-Rabbit IgG (H+L) (AS014) at 1:10000 dilution.|Lysates/proteins: 25μg per lane.|Blocking buffer: 3% nonfat dry milk in TBST.|Detection: ECL Basic Kit (RM00020).|Exposure time: 30s.
Clonality:
Monoclonal
Host Species:
Rabbit
Tested Applications:
ChIP, ELISA, IF/ICC, IHC-P, WB
Conjugate:
Unconjugated
Species Reactivity:
Human, Mouse, Other (Wide Range Predicted), Rat
List Size:
100 uL
Western blot analysis of various lysates, using TriMethyl-Histone H3-K9 Rabbit mAb (A22297) at 1:20000 dilution.|Secondary antibody: HRP-conjugated Goat anti-Rabbit IgG (H+L) (AS014) at 1:10000 dilution.|Lysates/proteins: 25μg per lane.|Blocking buffer: 3% nonfat dry milk in TBST.|Detection: ECL Basic Kit (RM00020).|Exposure time: 60s.
Clonality:
Monoclonal
Host Species:
Rabbit
Tested Applications:
ChIP, DB, ELISA, WB
Conjugate:
Unconjugated
Species Reactivity:
Human, Mouse, Other (Wide Range Predicted), Rat
List Size:
100 uL
Western blot analysis of various lysates using TriMethyl-Histone H4-K20 Rabbit mAb (A27268) at 1:16000 dilution incubated overnight at 4℃.|Secondary antibody: HRP-conjugated Goat anti-Rabbit IgG (H+L) (AS014) at 1:10000 dilution.|Lysates/proteins: 25 μg per lane.|Blocking buffer: 3% nonfat dry milk in TBST.|Detection: ECL Basic Kit (RM00020).|Negative control (NC): H4 protein|Exposure time: 1s.
Clonality:
Monoclonal
Host Species:
Rabbit
Tested Applications:
DB, ELISA, IF/ICC, IHC-P, WB
Conjugate:
Unconjugated
Species Reactivity:
Human, Mouse, Other (Wide Range Predicted), Rat
List Size:
100 uL
Western blot analysis of lysates from Jurkat cells, using TRK fused gene (TFG) (TFG) Rabbit mAb (A1534) at 1:3000 dilution.|Secondary antibody: HRP-conjugated Goat anti-Rabbit IgG (H+L) (AS014) at 1:10000 dilution.|Lysates/proteins: 25μg per lane.|Blocking buffer: 3% nonfat dry milk in TBST.|Detection: ECL Basic Kit (RM00020).|Exposure time: 1s.
Clonality:
Monoclonal
Host Species:
Rabbit
Tested Applications:
ELISA, WB
Conjugate:
Unconjugated
Species Reactivity:
Human, Mouse
List Size:
100 uL
Western blot analysis of lysates from Mouse brain using TrkA Rabbit mAb (A4147) at 1:5000 dilution incubated overnight at 4℃.|Secondary antibody: HRP-conjugated Goat anti-Rabbit IgG (H+L) (AS014) at 1:10000 dilution.|Lysates/proteins: 25 μg per lane.|Blocking buffer: 3% nonfat dry milk in TBST.|Detection: ECL Basic Kit (RM00020).|Exposure time: 45 s.

CATALOG NUMBER: 83-838

Clonality:
Monoclonal
Host Species:
Rabbit
Tested Applications:
ELISA, WB
Conjugate:
Unconjugated
Species Reactivity:
Mouse, Rat
List Size:
100 uL
Western blot analysis of various lysates using TrkA+B+C Rabbit mAb (A2693) at 1:7000 dilution incubated overnight at 4℃.|Secondary antibody: HRP-conjugated Goat anti-Rabbit IgG (H+L) (AS014) at 1:10000 dilution.|Lysates/proteins: 25 μg per lane.|Blocking buffer: 3% nonfat dry milk in TBST.|Detection: ECL Basic Kit (RM00020).|Negative control (NC): HeLa.|Exposure time: 45 s.

CATALOG NUMBER: 83-352

Clonality:
Monoclonal
Host Species:
Rabbit
Tested Applications:
ELISA, IHC-P, WB
Conjugate:
Unconjugated
Species Reactivity:
Human, Mouse, Rat
List Size:
100 uL
TrkB Antibody [9F9G1]

CATALOG NUMBER: 13-184

Clonality:
Monoclonal
Host Species:
Mouse
Tested Applications:
Flow, IHC, WB
Conjugate:
Unconjugated
Species Reactivity:
Human
List Size:
100 uL
Western blot analysis of various lysates, using TrkB Rabbit mAb (A21232) at 1:10000 dilution.|Secondary antibody: HRP-conjugated Goat anti-Rabbit IgG (H+L) (AS014) at 1:10000 dilution.|Lysates/proteins: 25μg per lane.|Blocking buffer: 3% nonfat dry milk in TBST.|Detection: ECL Basic Kit (RM00020).|Exposure time: 30s.

CATALOG NUMBER: 81-963

Clonality:
Monoclonal
Host Species:
Rabbit
Tested Applications:
ELISA, WB
Conjugate:
Unconjugated
Species Reactivity:
Mouse, Rat
List Size:
100 uL
Western blot analysis of lysates from Mouse brain, using TrKC Rabbit mAb (A23002) at 1:1000 dilution.|Secondary antibody: HRP-conjugated Goat anti-Rabbit IgG (H+L) (AS014) at 1:10000 dilution.|Lysates/proteins: 25μg per lane.|Blocking buffer: 3% nonfat dry milk in TBST.|Detection: ECL Basic Kit (RM00020).|Exposure time: 180s.

CATALOG NUMBER: 82-428

Clonality:
Monoclonal
Host Species:
Rabbit
Tested Applications:
ELISA, WB
Conjugate:
Unconjugated
Species Reactivity:
Mouse, Rat
List Size:
100 uL