Monoclonal

Product Type
Research Area
Clonality
Host Species
Species Reactivity
Tested Applications
Modifications
Conjugate
Product Badges
Western blot analysis of various lysates using XRCC1 Rabbit mAb (A4135) at 1:1000 dilution.|Secondary antibody: HRP-conjugated Goat anti-Rabbit IgG (H+L) (AS014) at 1:10000 dilution.|Lysates/proteins: 25μg per lane.|Blocking buffer: 3% nonfat dry milk in TBST.|Detection: ECL Basic Kit (RM00020).|Exposure time: 5s.

CATALOG NUMBER: 83-833

Clonality:
Monoclonal
Host Species:
Rabbit
Tested Applications:
ELISA, WB
Conjugate:
Unconjugated
Species Reactivity:
Human, Mouse, Rat
List Size:
100 uL
Western blot analysis of various lysates using XRCC2 Rabbit mAb (A26956) at 1:1000 dilution incubated overnight at 4℃.|Secondary antibody: HRP-conjugated Goat anti-Rabbit IgG (H+L) (AS014) at 1:10000 dilution.|Lysates/proteins: 25 μg per lane.|Blocking buffer: 3% nonfat dry milk in TBST.|Detection: ECL Basic Kit (RM00020).|Exposure time: 3s.

CATALOG NUMBER: 83-363

Clonality:
Monoclonal
Host Species:
Rabbit
Tested Applications:
ELISA, WB
Conjugate:
Unconjugated
Species Reactivity:
Human, Mouse, Rat
List Size:
100 uL
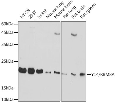
Western blot analysis of various lysates using Y14/RBM8A Rabbit mAb (A19599) at 1:1000 dilution.|Secondary antibody: HRP-conjugated Goat anti-Rabbit IgG (H+L) (AS014) at 1:10000 dilution.|Lysates/proteins: 25μg per lane.|Blocking buffer: 3% nonfat dry milk in TBST.|Detection: ECL Basic Kit (RM00020).|Exposure time: 20s.

CATALOG NUMBER: 81-518

Clonality:
Monoclonal
Host Species:
Rabbit
Tested Applications:
ELISA, WB
Conjugate:
Unconjugated
Species Reactivity:
Human, Mouse, Rat
List Size:
100 uL
Western blot analysis of various lysates using YB-1/YBX1 Rabbit mAb (A3534) at 1:5000 dilution incubated at room temperature for 1.5 hours.|Secondary antibody: HRP-conjugated Goat anti-Rabbit IgG (H+L) (AS014) at 1:10000 dilution.|Lysates/proteins: 25 μg per lane.|Blocking buffer: 3% nonfat dry milk in TBST.|Detection: ECL Basic Kit (RM00020).|Exposure time: 20 s.

CATALOG NUMBER: 83-699

Clonality:
Monoclonal
Host Species:
Rabbit
Tested Applications:
ELISA, IF/ICC, IHC-P, IP, WB
Conjugate:
Unconjugated
Species Reactivity:
Human, Mouse, Rat
List Size:
100 uL

CATALOG NUMBER: 31-464

Clonality:
Monoclonal
Host Species:
Mouse
Tested Applications:
ELISA
Conjugate:
Unconjugated
Species Reactivity:
Virus
List Size:
1 mg

CATALOG NUMBER: 31-465

Clonality:
Monoclonal
Host Species:
Mouse
Tested Applications:
ELISA
Conjugate:
Unconjugated
Species Reactivity:
Virus
List Size:
1 mg

CATALOG NUMBER: 31-466

Clonality:
Monoclonal
Host Species:
Mouse
Tested Applications:
ELISA
Conjugate:
Unconjugated
Species Reactivity:
Virus
List Size:
1 mg

CATALOG NUMBER: 31-467

Clonality:
Monoclonal
Host Species:
Mouse
Tested Applications:
ELISA
Conjugate:
Unconjugated
Species Reactivity:
Virus
List Size:
1 mg

CATALOG NUMBER: 35-617

Clonality:
Monoclonal
Host Species:
Mouse
Tested Applications:
ELISA, IF, IHC, WB
Conjugate:
Unconjugated
Species Reactivity:
Bacteria
List Size:
0.1 mg
Western blot analysis of lysates from Mouse placenta using Yipf6 Rabbit mAb (A25920) at 1:1000 dilution incubated overnight at 4℃.|Secondary antibody: HRP-conjugated Goat anti-Rabbit IgG (H+L) (AS014) at 1:10000 dilution.|Lysates/proteins: 25 μg per lane.|Blocking buffer: 3% nonfat dry milk in TBST.|Detection: ECL Basic Kit (RM00020).|Exposure time: 90s.

CATALOG NUMBER: 83-187

Clonality:
Monoclonal
Host Species:
Rabbit
Tested Applications:
ELISA, WB
Conjugate:
Unconjugated
Species Reactivity:
Mouse
List Size:
100 uL